강남 치아교정 파격적인 비용
안녕하세요?
월요일을 시작한지가 엊그제같은데 벌써 금요일이네요. 하루하루를 너무 무의미하게 보내는 것 같아 허무한 마음도 드네요. 그래도 웃으면서 살아가려고 노력하고 있답니다. 거의 매일이 그날이 그날같아서 별로 웃을 일도 없지만 웃어야 행복해진다고 하니 웃어야죠. 웃을 일이 있어서 행복한 것이 아니라 웃다보면 행복해진다는 그런 이야기가 있잖아요.
요즘 외모에 관심이 많아 치아 교정하려는 사람들이 많은데요. 미용상뿐만이 아니라 건강을 위해서라도 치아교정을 하는 것이 좋다고 하네요. 저도 돌출된 치아를 가지고 있지만 우리집 딸래미는 저보다 더 심각하게 치아가 돌출이 되어 교정하려고 이곳저곳 치아교정 비용을 알아 보았는데 그 비용이 정말 만만치가 않더라구요. 이런 만만치않는 치아교정 비용을 파격적인 비용으로 치아교정을 할 수 있는 곳이 있어서 소개해 드려요.

보통 치아교정은 세라믹교정이 가장 대중적이면서도 교정효과가 만족스러운 교정방법으로 아직까지도 많은 사람들에게 시행되고 있다고 하네요. 그리고 일반적인 교정방식에 심미적인 효과와 급속교정의 효과를 더한 떠오르는 교정 방식중 하나인 클리피씨교정이 있구요. 콤비교정은 교정시 노출이 잘 되는 위쪽 치아는 안쪽으로 교정하여 심미적인 효과를 주고 급속교정 방식으로 빠르고 드라틱한 교정이 가능한다고 하네요.

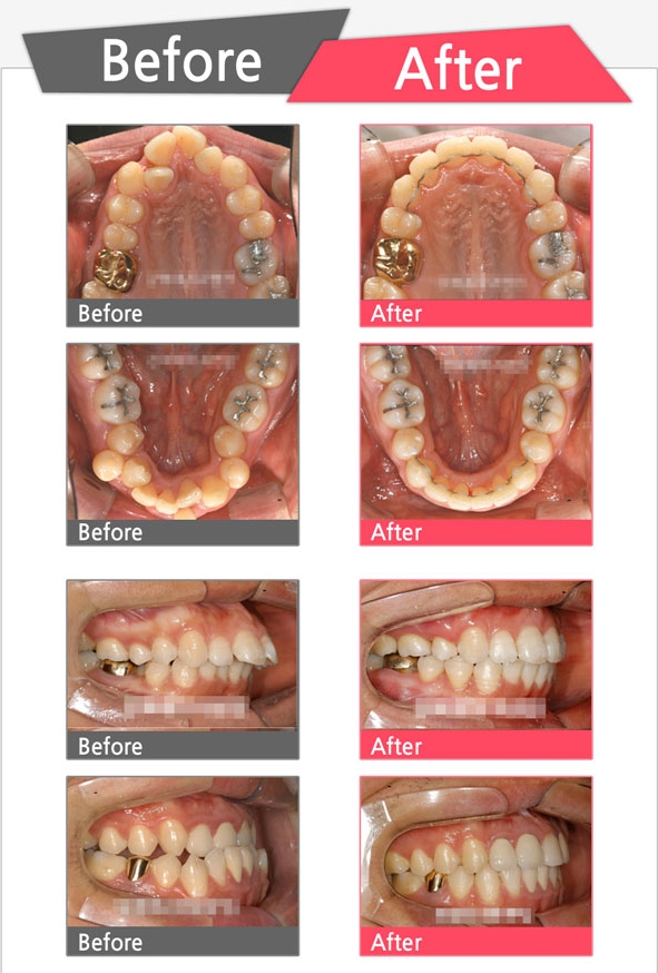
그럼 치아교정 전. 후의 사진을 한번 살펴 볼까요? 저 세번째 치아가 돌출된 사진은 꼭 돌출된 제 치아를 보는 것 같네요. 돌출된 치아 때문에 오해도 많이 받곤 하는데요. 입 다물고 아무말 않고 있으면 화난 거 아니냐고 묻는 사람들이 많아요. 제가 화난 것이 아니라고 해도 꼭 화난 사람처럼 보인대요. 그럴 때면 얼마나 황당한지 몰라요. 아래의 교정된 후의 사진들을 보니까 돌출된 치아, 비뚤어진 치아들이 교정되어 가지런해진 모습들이 참 보기 좋네요.

세라믹교정에서 콤비교정까지 가능한 강남의 치아교정 비용을 보시면 아시겠지만 정말 특가답지 않나요? 세라믹교정이나 클리티시교정은 무료혜택이 있는데요. 발치비, 스크류비, 정밀진단비, 유지장치비가 무료라고 하네요.

치아교정 치료를 진행하시면 추가 혜택을 드리는데요. 구강검진 무료서비스에다 비용 결제시 한꺼번에 결제하시는 것이 부담스러운 분들을 위하여 분납이 가능하고, 카드.현금 모두 동일적용이 되구요. 충치치료, 보철치료, 미백치료시에 DC해 드린다고 하네요.

이벤트 신청만 하셔도 일반 치과에서 20만원 상당의 검사비용을 무료로 교정 정밀진단을 받을 수 있다고 하니 신청해 보시는 것도 좋을 것 같아요..

이벤트 사이트에 들어가셔서 치아교정 이벤트 신청을 하셔야 정밀진단을 무료로 받을 수 있는데요. 사이트에 들어가시면 상단에 있는 접수창에 본인이름, 연락 받을 수 있는 연락처, 메일주소를 입력하시고, 어떤 시술을 원하는지 교정시술명, 본인이 원하는 병원위치, 본인 거주지, 궁금하신 것이 있으면 간단하게 문의내용을 적어 주시면 됩니다.
